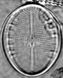
Taxon: Cocconeis pediculus

Autor:EHRENBERG Jahr:1838

DVWK-Nr:6020

häufige Synonyme: Bildnachweise:Süßwasserflora Mitteleuropa 2/4, T 55 + 57

Dimensionen:: L: 12-54 µm; B: 7-37 µm; Streifen: 16-24/10 µm; Punkte: 18-23/10 µm

Angaben zur Autökologie

Angaben zur Autökologie